Study Suggests Pattern in Lung Cancer Pathology May Predict Cancer Recurrence after Surgery

Media Advisory
NEW YORK, NY, August 7, 2013

A new study by thoracic surgeons and pathologists at Memorial Sloan-Kettering Cancer Center shows that a specific pattern found in the tumor pathology of some lung cancer patients is a strong predictor of recurrence. Knowing that this feature exists in a tumor's pathology could be an important factor doctors use to guide cancer treatment decisions.

According to the study's authors, the findings offer the first scientific evidence that may not only help surgeons identify which patients are more likely to benefit from less radical lung-sparing surgery, but which patients will benefit from more extensive surgery, potentially reducing the risk of lung cancer recurrence by 75 percent. The study will be published in the August 20 issue of the Journal of the National Cancer Institute.

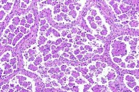
Researchers retrospectively evaluated the clinical characteristics and pathology information of 734 patients who had surgery for early-stage adenocarcinoma — the most common subtype of non-small cell lung cancer — and found that tumors in 40 percent of those patients exhibited an abnormal cell pattern strongly associated with cancer recurrence after surgery. No study to date has investigated the prognostic utility of this classification, called micropapillary (MIP) morphology, for patients with small, early-stage lung adenocarcinomas. Currently there are no evidence-based criteria for choosing the most effective surgical approach for this group.

The findings suggest that limited resection may not be appropriate for patients with the MIP pattern, as they were found to have a 34 percent risk of the cancer returning within five years after lung-sparing surgery, or limited resection, in which the tumor is removed by minimally invasive means and lung function is preserved. In contrast, patients with the MIP pattern who underwent lobectomy — the standard approach in which up to a third of the lung is removed along with the tumor — had only a 12 percent incidence of recurrence over a five-year period.

The study observations may play a key role in deciding whether to perform lung-sparing surgery or lobectomy for patients with small lung adenocarcinomas. It currently takes an expert lung pathologist to identify the MIP pattern during an operation. If the surgeon performs lung-sparing surgery in the presence of the MIP pattern, the chance of recurrence is high within the spared lobe of the lung. A lobectomy can reduce this chance of recurrence by 75 percent. If the MIP pattern is not found, the surgeon can confidently perform lung-sparing surgery.

Only a handful of cancer centers in the country have the expertise needed to identify the MIP pattern during surgery. Patients whose tumors are later found to have the MIP pattern after lung-sparing surgery may require another excision or a full lobectomy to reduce their risk of recurrence. Researchers at Memorial Sloan-Kettering are working to develop new technology that can be used to precisely identify which tumors have the MIP pattern before or during surgery. This will not only help doctors recommend the most effective surgical approach for each patient, but will result in fewer patients requiring additional treatment.

Nearly 250,000 patients are diagnosed with non-small cell lung cancer each year in the United States. The detection of small, early-stage lung adenocarcinomas is expected to increase as a result of advances in imaging technology, the widespread use of CT screening, and professional guidelines recommending screening long-time smokers for lung cancer. The findings of the new study will have immediate implications for the management of these patients.

The research was supported in part by the National Cancer Institute (grant 1R21CA164568-01A1); and the US Department of Defense (grants PR101053 and LC110202).

Journalists may contact the Department of Public Affairs for more information.

Telephone: 212-639-3573