Telecytology Yields Real-Time Biopsy Results

The rapidly growing Interventional Radiology (IR) Service at MSK Westchester in West Harrison provides the highest quality outpatient services to the communities we serve. Innovative collaboration between IR staff, the Department of Anesthesiology, the Department of Pathology, and referring oncology services has made it possible for hundreds of patients to access leading-edge diagnostic procedures closer to where they work and live. 

Regional Access to Advanced Treatments and Diagnostics

Image-guided biopsy using CT and ultrasound has changed the face of how we diagnose and treat cancers throughout the body and is one of the many procedures that can be safely performed in regional centers. Biopsies are performed with minimally invasive techniques and precise image guidance through small pinholes in the skin, providing a high rate of diagnostic accuracy and rapid recovery times for patients. The extraction of tissue through a small biopsy needle also allows for molecular testing, which is particularly important for developing targeted cancer therapies.  

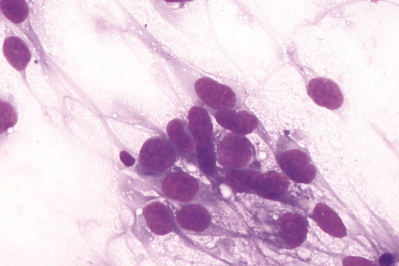
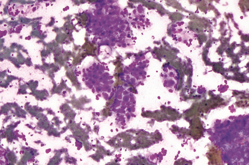
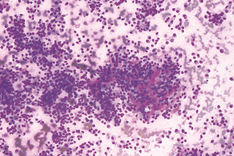
Telecytology Increases Diagnostic Accuracy

Telecytology

We use state-of-the-art technologies including telecytology, a process in which tissue specimen slides prepared in the IR procedure suite are placed in a specialized microscope, scanned into digital images, and transmitted to the Department of Pathology at MSK’s Manhattan location via a secure intranet connection. This approach increases diagnostic accuracy without the need for cytology personnel to be physically present, radically changing the way we provide biopsy services on an outpatient basis. Real-time feedback happens during the procedure while the patient is still on the table. The diagnostic accuracy rate is approximately 98% which is similar to that seen when biopsies are performed on site with conventional microscopes.

Image-guided biopsy services are performed at MSK Westchester in West Harrison to diagnose the following diseases including:

  • liver cancer
  • kidney cancer
  • soft tissue cancers
  • metastasis to bone
  • metastasis to lymph nodes
  • metastasis to peritoneum/retroperitoneum

 

Refer a Patient
Call our dedicated clinician access number at 646-677-7440 or click the link below, and one of our care advisors will assist you with your referral needs.