Renowned Cellular Lipid and Energy Metabolism Researchers Join the Sloan Kettering Institute

MSK's Tobias Walther and Robert Farese, Jr.
(From left) Tobias Walther, PhD, and Robert Farese, Jr., MD, jointly run the Farese and Walther Lab at MSK's Sloan Kettering Institute.

Over nearly two decades, Robert Farese, Jr., and Tobias Walther have charted a scientific partnership based on a simple formula: 1 + 1 = 3.

That is, their work to illuminate the mechanisms by which cells store, maintain and use tiny droplets of energy-rich oil is more than additive, more than just double the sum of their individual contributions.

“There are very practical reasons that partnerships like ours can work really well,” says Dr. Farese, who trained as a medical doctor. “We can combine forces to get a lot of things done, like divide up administrative work — but there’s also a creative aspect to it, a productive synergy that’s harder to quantify.”

This, they emphasize, applies not only to producing new scientific insights but also to an equally important aspect of their work: training future scientists.

For the past seven years, Bob and Tobi, as they prefer to be called, have jointly run the Farese and Walther laboratory. The lab moved from the Harvard T.H. Chan School of Public Health and Harvard Medical School to join the Sloan Kettering Institute in the fall of 2022.

Modern science is by necessity a collaborative venture, says Dr. Walther, a Howard Hughes Medical Institute Investigator who holds a doctorate in biochemistry, and who chairs the institute’s Cell Biology Program.

A second brain can be invaluable when making important decisions, the duo note.

“Two primary challenges for any scientist are deciding what to work on and whom to hire,” they wrote in a piece on their partnership for the Journal of Clinical Investigation. “When leading a laboratory, the answers to these questions can make or break a career. The power of combined, invested viewpoints enables a more careful examination and therefore a higher likelihood of arriving at better answers.”

Renowned Lipid Metabolism Researchers

The proof of the partnership can be seen in pioneering and frequently cited work that has appeared in a diversity of scientific journals from Nature to Molecular Cell to Hepatology.

Over the years, they’ve helped elevate lipid droplets — LDs for short — from largely overlooked humdrum particles of fat to the center of a new frontier of research, highlighting the organelle’s complex and dynamic role in diseases like obesity, diabetes and fatty liver disease.

“We are just beginning to understand fundamental aspects of LD biogenesis, catabolism, and functional activities in cells,” they wrote in a 2009 essay in Cell. “This increased knowledge of LD cell biology has relevance for applied science in the fields of human health and biofuels.”

That essay was called “Lipid Droplets Finally Get a Little R-E-S-P-E-C-T,” which is not to be confused with a piece they wrote for the Journal of Cell Biology called “Lipid Droplets Go Nuclear” — as in, into the cell nucleus. Both titles, however, offer a small glimpse into their wry senses of humor.

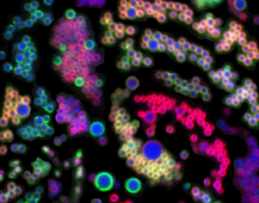
Proteins competing for binding at the lipid droplet surface
Proteins compete for binding at the lipid droplet surface by a macromolecular crowding mechanism (pseudocolored for illustration purposes). Adapted from Kory, N. et al. (2015)Developmental Cell.

Notable discoveries from their lab include identifying the molecular enzymes that synthesize triglycerides, the principal molecule of energy storage, identifying the mechanisms that orchestrate the formation of lipid droplets in cells, and identifying the principles by which metabolic proteins localize to lipid droplets to carry out their functions. The team has identified hundreds of genes that regulate lipid storage in cells and that govern their biology. The lab also has unraveled how deficiencies in degrading lipids in the lysosome, a digestive organelle in cells, can lead to neurodegeneration.

“When we started, we knew that these organelles, these lipid droplets, existed, but we didn’t really understand much about how they were made,” Dr. Farese says. “Our hypothesis was that there must be proteins and molecular machinery involved that orchestrates everything. It wasn’t just purely left to chance. And so, for more than a decade and a half, we’ve been working to identify the components of that machinery — from the enzymes that make key oils, such as triglycerides, to the proteins that decorate the surface of these droplets and help regulate their metabolism.”

Their work has illuminated lipid storage from elucidating key protein structures at the atomic level to undertaking animal model studies aimed at understanding how things go awry in specific diseases.

And it’s here that the combination of shared core values and diverse scientific training truly blossoms. Both began their studies in chemistry and share a fascination and reverence for the fundamental principles that underlie science and biology.

“We are always in alignment of what we think are important problems to work on,” Dr. Farese says. “But our diverse scientific training backgrounds mean we each have different strengths to offer. If we want to venture into structural biology, Tobi will help me move in that direction. Or if we want to dive deeper into disease pathways, my experience as physician is helpful to move the work toward physiology and disease.”

Tomorrow’s Treatments Depend on Today’s Discoveries

All this, of course, begs the question — why move a lab that primarily studies the biology of lipid storage to a cancer center?

The easy answer is that tomorrow’s treatments depend on today’s discoveries.

Another way to put it is that to understand how and why things go wrong in disease — for example, in cancer or in fatty liver disease, which is often a precursor to cancer — you must first understand the intricate wizardry of a healthy cell or tissue.

The Sloan Kettering Institute is a hub within the larger Memorial Sloan Kettering Cancer Center (MSK), where more than 100 research labs are dedicated to building new scientific knowledge. Some work directly on problems specific to cancer, but many are tackling fundamental questions of human biology upstream of any particular disease.

Cell biology research is fundamental to cancer biology research.
Robert Farese, Jr., MD, Co-Primary Investigator, Farese and Walther Lab

“Energy metabolism enables pretty much every aspect of life,” Dr. Walther says. “As a consequence, when things go wrong with those processes, you end up with a number of common metabolic diseases like type 2 diabetes and fatty liver disease. What’s less appreciated is that obesity is also a major risk factor for cancer development. A significant portion of people who have, for instance, fatty liver disease progress to hepatocellular carcinomas — a link that’s not fully understood yet.”

The lab’s mission, he continues, is to understand in molecular detail the mechanisms involved in the underlying storage of fats — and to use the knowledge in ways that might be beneficial for treating common metabolic and metabolism-linked diseases, including cancer.

“Cancer cells and, in particular, the type that spread tumors to distant organs to form metastasis, are addicted to triglyceride lipids,” says Sloan Kettering Institute Director Joan Massagué, PhD. “The recruitment of Drs. Walther and Farese brings to MSK a set of world-class scientists pioneering the discovery of how cells in our body tissues and tumors store and mobilize triglyceride lipids as a source of energy and molecular building-block materials. Their work epitomizes the mission-inspired, curiosity driven science that sets MSK apart from other cancer research institutions and has served it so well in the long run.”

Why MSK?

The decision to uproot their lab from Boston to join the institute was a complex one for the Farese and Walther Lab — as it would be for any established lab.

“We believe there’s a lot that’s special here,” Dr. Farese says. “The Sloan Kettering Institute in particular is a unique environment dedicated to basic science — that is, developing fundamental knowledge for applied science to build upon.”

Dr. Walther adds, “And here we’re embedded in a large organization with a focus on both the science and making a difference in people’s lives.”

One of the areas where that’s manifest, they say, is in “unparalleled” support for the research enterprise, including state-of-the-art core facilities that provide services and technology to member labs, from nuclear magnetic resonance spectroscopy to structural biology to DNA sequencing.

“And all of this happens within the larger ecosystem of scientific and educational excellence across the tri-institutional partnership between MSK, The Rockefeller University, and Weill Cornell,” Dr. Walther says.

“I would just add that cell biology research is fundamental to cancer biology research,” Dr. Farese says. “And this was a fantastic opportunity for us to help shape and grow the Cell Biology Program here. That, and the opportunity for us to just have unparalleled support for the kind of work we do, made it really attractive.”

The lab is currently recruiting graduate students and postdocs, and the Cell Biology program will be recruiting new faculty in the spring of 2023.

Follow the Farese and Walther Lab and the Cell Biology Program on Twitter: @FandWLab and @SKI_CellBiology.